Dr Lucie NGUYEN
Chirurgien-Dentiste

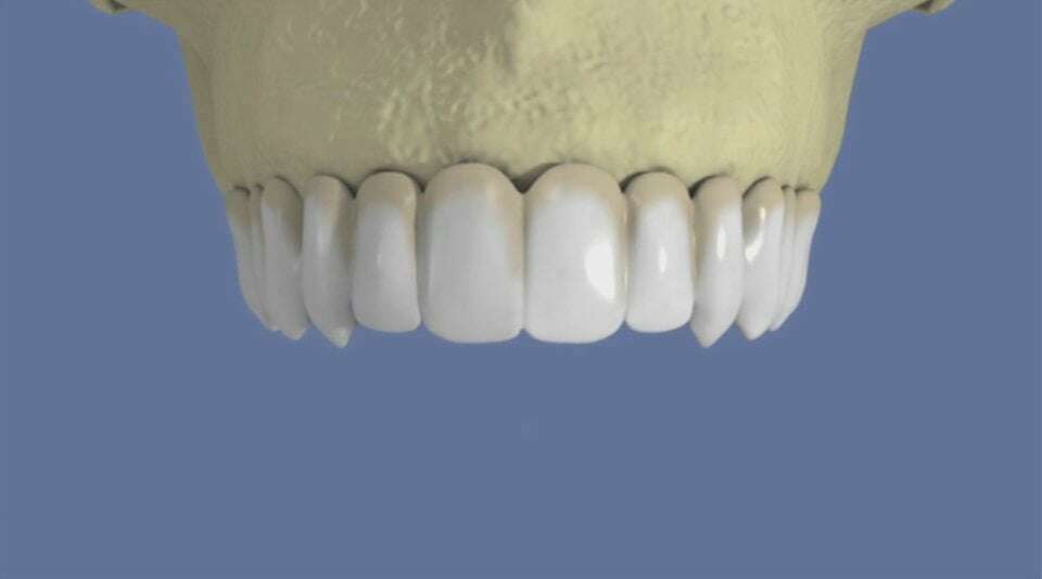
Maxillaire : bridge vissé sans fausse gencive


video-play-icon